Das Schweizer Ärzteportal seit 1998
Flagslogo doktor.ch

Körper: Zähne

Fossiler Zahn eines Haies. Länge 4 cm
Fossiler Zahn eines Haies. Länge 4 cm

Zähne (latein. Dentes; der Zahn = Dens; dentis = des Zahnes; dental = den Zahn betreffend; griech. Odous; Plural Odontes) sind Hartgebilde in der Mundhöhle, die als modifizierte Teile des Hautskeletts in ihrer Gesamtheit das Gebiss bilden. Sie sind aus den einfachen Hautzähnen vorzeitlicher Fische entstanden. Im Verlauf der Evolution verschmolzen die Schuppenzähne zu Hartgebilden mit basaler Knochenmasse, Dentinkrone und innerer Pulpahöhle.

Mit den Zähnen wird Nahrung ergriffen, zerkleinert und zermahlen. Sie haben sich bei den Wirbeltieren und beim Menschen nach dem Form-Funktionsprinzip entwickelt. Beim Menschen kommen als Funktionen noch die Lautbildung (insbesondere des S-Lautes) und soziale Funktionen hinzu, bei Tieren fungieren sie auch als Waffen.

Echte und unechte Zähne

Im Tierreich unterscheidet man echte und unechte Zähne.

  1. Die echten Zähne bestehen aus Schmelz, Dentin und Zement sowie der Pulpa. Sie werden auch Dentinzähne genannt, weil das Dentin den Hauptbestandteil bildet (siehe heterodontes Gebiss).
  2. Bei den unechten Zähnen fehlen die Hartsubstanzen Schmelz, Dentin und Zement. Es handelt sich meist um Hornzähne, wie sie z.B. im Schlund und in der Speiseröhre der Lederschildkröten zu finden sind. Primitive wurzellose Zähne kommen bei Fischen, Amphibien und Reptilien vor und stellen den Grundtyp der Zähne dar. Sie können die Form von leicht zugespitzten, konischen Kegel-Zähnen haben, die bei Haien kantig oder mehrzackig, bei Fischen zu Pflasterzähnen, bei Schlangen zu Giftzähnen umgebildet sein können (siehe homodontes Gebiss).

Zahnarten

Zahlencode der Zähne - Das F.D.I-Schema

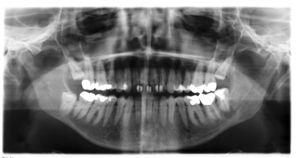
menschliches Gebiss mit 32 Zähnen (Röntgenbild); bis auf Zahn 38 (im Bild rechts unten) sind die Weisheitszähne noch nicht durchgebrochen
menschliches Gebiss mit 32 Zähnen (Röntgenbild); bis auf Zahn 38 (im Bild rechts unten) sind die Weisheitszähne noch nicht durchgebrochen

Zur Vermeidung von Missverständnissen werden die Zähne des Menschen in der Zahnheilkunde durch die Gebissformel eindeutig bezeichnet. Das Gebiss wird dazu in 4 Quadranten unterteilt, d.h. pro Kiefer erfolgt die Teilung zwischen den mittleren Schneidezähnen. Diese Quadranten dienen als erste Ziffer der Zahnbezeichnung:

  • oben rechts = 1 (bei Milchzähnen: 5)
  • oben links = 2 (bei Milchzähnen: 6)
  • unten links = 3 (bei Milchzähnen: 7)
  • unten rechts = 4 (bei Milchzähnen: 8)

Die einzelnen Zähne werden dann jeweils von vorn beginnend durchnummeriert. Der linke untere Weisheitszahn trägt somit die Bezeichnung 38 (sprich: drei-acht), während der erste obere linke Schneidezahn als 21 (sprich: zwei-eins) bezeichnet wird.

Das F.D.I.-Schema, welches seit 1970 von der Fédération Dentaire International empfohlen wird, ist somit computergerecht und wird derzeit weltweit am häufigsten genutzt.

Insbesondere ist darauf zu achten, dass in der Zahnmedizin - wie auch in der Allgemein-Medizin - das System grundsätzlich aus der Sicht des Patienten geschildert wird (Merke: "Die rechte Hand ist immer und aus jeder Blickrichtung die rechte Hand"). Das heisst, während beispielsweise Zahn 38, der linke untere Weisheitszahn, beim Patienten in der linken Mundhälfte liegt, wird die Linke vom gegenübersitzenden Behandler als rechts wahrgenommen.

Aufbau des Zahns

Der Aufbau eines Zahns
Der Aufbau eines Zahns

Jeder Zahn besteht aus der Zahnkrone (Corona dentis), dem Zahnhals (Collum dentis) und der Zahnwurzel (Radix dentis) und ist aus mehreren Schichten aufgebaut. Das, was man im gesunden Gebiss äusserlich vom Zahn sieht, ist nur der Zahnschmelz, der wie eine Glasur das innen liegende Zahnbein (Dentin) bedeckt. Das Dentin wiederum umschliesst das Zahnmark (Pulpa).

Zahnschmelz (Enamelum)

Der Zahnschmelz ist die härteste Substanz des menschlichen Körpers. Er besteht zu 95 Prozent aus Hydroxylapatit (Ca5(PO4)3(OH)), einem kristallinen Material, dessen Hauptanteil Kalzium und Phosphat ist. Der Zahnschmelz ist für wasserlösliche Stoffe geringfügig durchlässig, zum Beispiel für seine Bestandteile Kalzium und Phosphat, sowie für Fluoride. Mit Hilfe von Fluoriden wird das Hydroxylapatit in das härtere Fluorapatit (Ca5(PO4)3(F)) umgewandelt. Deshalb werden diese zur Härtung des Zahnschmelzes in Zahnpasten verwendet. Hingegen können Säuren dem Zahn schaden, weil sie aus dem Zahnschmelz das Kalzium und Phosphat herauslösen und ihn damit aufweichen (siehe Karies).

Zahnbein (Dentin)

Unter dem Zahnschmelz liegt das Zahnbein oder Dentin. Es stellt die Hauptmasse des Zahnes dar. Die Hartsubstanz des Dentins besteht wie beim Zahnschmelz aus Kalzium und Phosphat, allerdings nur zu zwei Dritteln, der Rest ist Eiweiss und Wasser, weshalb Dentin weicher und anfälliger gegen Karies ist als der Zahnschmelz. Das Dentin ist schmerzempfindlich. Hitze-, Kälte- und Berührungsreize führen zu Flüssigkeitsbewegungen in den Dentinkanälchen (die im Bereich des Zahnhalses bis an die Oberfläche reichen können). Dies reizt die Tomes'schen Fasern, Zellfortsätze der Odontoblasten (Dentin-bildende Zellen). Die Odontoblasten stehen mit freien Nervenendigungen in Verbindung, die den Reiz als Schmerzempfindung ans Zentralnervensystem weiterleiten.

Zahnmark (Pulpa)

Das Dentin umschliesst wiederum den inneren Teil des Zahns, Pulpa oder Zahnmark genannt, die von Blutgefässen und Nervenfasern durchzogen wird.

Zahnzement (Cementum)

Im Wurzelbereich wird das Dentin vom Zahnzement bedeckt, der dritten Zahnhartsubstanz neben dem Zahnschmelz und dem Dentin. Der Zahnzement, das Wurzeldentin als dünne Schicht umschliessend, ist die äussere Hülle des Zahnes und „mauert” die Zahnwurzel im Kiefer ein. Doch hat die Verbindung zum Kieferknochen, in dem jeder Zahn in seinem Zahnfach (Alveole) aufgehängt ist, eine gewisse Elastizität (siehe Zahnhalteapparat).

Die Wurzeloberfläche ist unter dem Elektronenmikroskop perforiert. Auf die poröse Oberfläche der Wurzel ziehen feinste Nervenausläufer, die bei Rückgang des Zahnfleisches, für Temperatur- und Berührungssensibilität verantwortlich sind.

Zahnmerkmale

Um einen extrahierten Zahn eindeutig zu bestimmen, gibt es bestimmte Zahnmerkmale:

  • Winkelmerkmal: aus vestibulärer Sicht ist der Winkel zwischen Schneidekante und der Mesioapproximalfläche spitzer als der Winkel zwischen der Schneidekante und der Distoapproximalfläche.
  • Krümmungsmerkmal: von okklusal betrachtet, ist der mesiale Anteil der Vestibulärfläche stärker gekrümmt als der distale Anteil.
  • Wurzelmerkmal: Die Wurzelspitze knickt meistens nach distal ab, Ausnahmen bilden öfters die unteren mittleren Schneidezähne.
  • Kronenflucht: Die Krone der Unterkiefer-Seitenzähne neigt sich nach lingual.

Wurzellose Zähne

Querschnitt durch den Elfenbeinzahn eines Mammut
Querschnitt durch den Elfenbeinzahn eines Mammut

Bei einigen Säugetieren sind wurzellose Zähne ausgebildet. Sie besitzen keine von Zement überzogene Zahnwurzel, der Zahnschmelz überzieht auch den im Zahnfach liegenden Zahnteil. Wurzellose Zähne wachsen zeitlebens, im Gegensatz zu den Wurzelzähnen. Das permanente Wachstum wird durch den Zahnabrieb in Grenzen gehalten. Nachwachsende Zähne finden sich auch bei Fischen, Lurchen und Reptilien. Wurzellose Zähne bei Säugern sind:

  • alle Zähne der Hasenartigen (Kaninchen, Hasen..), der Chinchillas und der Meerschweinchen
  • die Canini der männlichen Schweine (hier auch als Hauer oder Gewehre bezeichnet) sowie die Stosszähne bei Elefant, Walross und Flusspferd
  • die Nagezähne der verschiedenen Nagetiere.

Zahnentstehung und -wechsel

Die Zähne entstehen aus dem Ektoderm, die Zahnpulpa und der -halteapparat aus Mesenchym. Die erste Anlage eines Zahns wird als Zahnknospe bezeichnet (siehe hierzu Hauptartikel Entwicklung der Zähne).

Bei den meisten Säugetieren gibt es einen einmaligen Zahnwechsel (Diphyodontie). Zunächst werden Milchzähne angelegt (lacteale Dentition), die später durch die "zweiten" oder bleibenden Zähne (permanente Dentition) ersetzt werden. Die Molaren (hintere Backenzähne) haben generell keine Milchzahnvorgänger, sie entstehen nur im bleibenden Gebiss.

Bei Fischen, Amphibien und Reptilien können die Zähne zeitlebens immer wieder durch neue ersetzt werden (Polyphyodontie). Bekannt sind hierfür z.B. die Zebrafische und das "Revolvergebiss" der Haie.

Erkrankungen und wichtige Behandlungsformen

Die häufigste Krankheit der Zähne und des Menschen überhaupt ist die Zahnkaries (Zahnfäule). Auch Erkrankungen des Zahnhalteapparats (siehe Zahnfleisch, Parodontitis) sind häufig.

Bereits in der Steinzeit wurden entzündete Zähne fachkundig gezogen, und seit Jahrtausenden gehören Zahnfüllungen (vulgo "Plomben"), vereinzelte Zahnkronen und Kiefer-Operationen zur Gesundheitspflege von Kulturvölkern.

Wenn heute durch notwendig gewordene Extraktionen grössere Zahnlücken entstehen, wird häufig eine Zahnprothese ("drittes Gebiss") oder eine Brücke eingesetzt. Seit etwa 20 Jahren besteht auch die Möglichkeit metallener Zahnimplantate, die im Kiefer einwachsen und später überkront werden. Wachsende Bedeutung hat auch die Mundhygiene, die von Zahnärzten zur Gesunderhaltung des Zahnfleisches angeboten wird.

Cave: in seltenen Fällen kann akut auftretender Zahnschmerz einziges Symptom eines Herzinfarkts sein.


Dieser Artikel stammt aus der freien Enzyklopädie Wikipedia und kann dort eingesehen werden (Autorenliste). Der Artikel steht unter der GNU Lizenz für freie Dokumentation.


Unsere Website dient einzig Informationszwecken. Sie ersetzt keinesfalls die persönliche Untersuchung, Beratung und Behandlung durch Fachkräfte. Bitte beachten Sie auch unsere Rechtlichen Nutzungsbedingungen.




[an error occurred while processing this directive]