Das Schweizer Ärzteportal seit 1998
Flagslogo doktor.ch

Krankheiten: Nierensteine

Klassifikation nach ICD-10
N20 Nieren- und Ureterstein
N21 Stein in den unteren Harnwegen
ICD-10 online (WHO-Version 2006)
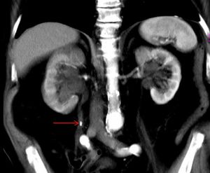
Stein im rechten Harnleiter (Pfeil), mit Harnaufstau. Computertomografie mit Kontrastmittel
Stein im rechten Harnleiter (Pfeil), mit Harnaufstau. Computertomografie mit Kontrastmittel

Nierensteine oder Nephrolithen (v. griech. νεφρος „Niere“ und λιθος „Stein“) sind Ablagerungen (Harnsteine) in den Nierengängen oder ableitenden Harnwegen und werden auch als Ureter- und Blasensteine bezeichnet. Weitere Namen sind Nierenkonkrement oder Calculus renalis. Eine Ansammlung von vielen kleinen Nierensteinen wird auch „Nierengries“ genannt. Der medizinische Fachausdruck für die Nierensteinkrankheit ist Nephrolithiasis.

Häufigkeit

Die Prävalenz von Nierensteinen beträgt in Mittel- und Westeuropa ca. 5 %. Das Verhältnis von betroffenen Männern zu Frauen beträgt dabei 7 zu 5. Am häufigsten tritt die Erkrankung zwischen dem 30. und dem 50. Lebensjahr auf. In den Industriestaaten leben ca. 20 % der Männer und ca. 7 % der Frauen mit einem erhöhten Steinrisiko. Ist bereits ein Nierenstein aufgetreten, so beträgt das Risiko eines Rezidivs ca. 60 %.

Einteilung

Bild eines Nierensteins
Bild eines Nierensteins
Bild von Nierensteinen
Bild von Nierensteinen

Am gebräuchlichsten ist die Einteilung der Nierensteine nach ihrer äusseren Form oder ihrer chemischen Zusammensetzung:

  • Klassifikation nach Form:
    • Ventilsteine
    • Hirschgeweihsteine
    • Korallensteine
    • Ausgusssteine
  • Klassifikation nach chemischer Zusammensetzung:
    • Calciumoxalat-Steine (ca. 65 %)
    • Urat-Steine (Harnsäuresteine, ca. 15 %)
    • Magnesiumammoniumphosphat-Steine (Struvit-Steine, ca. 11 %) treten vor allem im Zusammenhang mit Infektionen auf und werden daher auch als Infektsteine bezeichnet.
    • Calciumphosphat-Steine (ca. 9 %)
    • Cystinsteine (ca. 1 %)
    • Xanthin-Steine (ca. 1 %)
Auch Mischformen sind möglich.

Ursachen

Die Entstehung von Nierensteinen ist von vielen Faktoren abhängig, die je nach Ausprägung zu verschieden zusammengesetzten Konkrementen führen. Viele Stoffwechselabläufe sind in diesem Zusammenhang noch ungeklärt.

Auf molekularer Ebene kommt es zu einer Erhöhung der Konzentration von schwerlöslichen Ionen oder anderen Harnbestandteilen bis zur Überschreitung des sogenannten Löslichkeitsprodukts. Dadurch beginnen diese Substanzen (Salze) auszufallen und Konglomerate zu bilden, die ab einer gewissen Grösse die ableitenden Harnwege nicht mehr passieren können.

Die Erhöhung der steinbildenden (lithogenen) Harnbestandteile kann viele Ursachen haben. Neben Exsikkose (Dehydratation) und Flüssigkeitsmangel kommen hier Erkrankungen in Frage, die zu einer erhöhte Harnkonzentration von Metaboliten oder Ionen führen, wie Hyperparathyreoidismus, Hyperoxalurien, Hyperurikämien (vermehrte Harnsäure, Gicht) oder bestimmte Infektionserkrankungen. Eine reichliche Zufuhr von Purin über die Nahrung kann den Harnsäurespiegel erhöhen. Es gibt auch Störungen der Nierenfunktion bei denen zuviel Kalziumphosphat ausgeschieden wird (Tubuläre Azidose).

Anatomische Besonderheiten des Nieren-Harnleitersystems wie Hufeisenniere und ektope Harnleiter, sowie Abstrombehinderungen begünstigen die Steinbildung.

Auf vermehrte Nierensteine durch eine Magen-Bypass-OP lässt eine Studie mit 24 Patienten schliessen, deren Oxalat-Exkretion vor und nach der OP gemessen wurde.[1]. Vorher lag sie bei 31mg täglich, danach bei 41mg. Auch die relative Sättigung des Urins mit Kalziumoxalat war deutlich erhöht (1,73 vor der Bypass-Op versus 3,5 nachher). Jeder vierte Patient bekam eine Hyperoxalurie mit Exkretionswerten von 63mg pro Tag. Vor der OP hatte kein Patient ein erhöhtes Risiko für Nierensteine.[2]

Symptome

Wandern Steine in den Harnleiter ein, können sie an den Engstellen festklemmen. Die krampfartige Muskelkontraktion führt zu starken, wellenförmigen Schmerzen der Flanke (Nierenkolik). In der Regel ist im Urin Blut sichtbar oder laborchemisch nachweisbar. Es kommt meist zu einem Urinstau und die betroffene Niere kann geschädigt werden. Es drohen Nierenbeckenentzündung (Pyelonephritis) bis hin zu einer Urämie. Kleine Steine (< 4 – 6 mm) können auch ohne besondere Beschwerden abgehen.

Diagnostik

  • Körperliche Untersuchung
  • Untersuchung des Urins (z. B. auf Spuren von Blut = Hämaturie)
  • Ultraschall, wobei kleinere Steine dabei leicht übersehen werden können
  • Röntgen-Kontrastdarstellung der Niere und ableitenden Harnwege (sog. i. v.-Pyelogramm) (nicht geeignet zur Darstellung von Urat- und Xanthinsteinen, sowie den seltenen Indinavir-Steinen)
  • CT - zeigt auch die sogenannten nicht schattengebenden Konkremente, die in konventionellen Röntgenaufnahmen nicht zu sehen sind
  • MRT
  • Retrograde Kontrastmitteldarstellung der Harnwege
  • Endoskopische Verfahren

Am häufigsten werden die Ultraschalluntersuchung, die Urinuntersuchung und das i. v.-Pyelogramm durchgeführt.

Therapie

Kleine Nierensteine (unter 6 mm) haben eine gute Chance, von selbst die Passage über den Harnleiter zur Harnblase zu schaffen. Reine Urat- und Cystinsteine können oft mittels alkalisierender Medikamente aufgelöst werden (Urolitholyse). Weitere Massnahmen sind:

Perkutane Nephrolitholapaxie (PNL)

Diese Methode kommt vor allem bei grösseren Steinen, die ausgeprägte Harnstauungen verursachen, zum Einsatz. Dabei wird durch einen kleinen Hautschnitt ein Endoskop eingeführt, über das anschliessend der Stein mit Stosswellen zertrümmert wird.

Ureterorenoskopische Steinentfernung (URS)

Entfernung von Harnleitersteinen mit dem Endoskop
Entfernung von Harnleitersteinen mit dem Endoskop

Eine solche operative Methode wird bei Harnleitersteinen angewendet. Ein starres bzw. flexibles, dünnes Rohr wird mit einem optischen Instrument (ähnlich wie bei einer Blasenspiegelung) über die Harnröhre in die Blase und weiter in den Harnleiter eingeführt.

Über den Arbeitskanal des optischen Instruments lassen sich unterschiedliche Geräte zur Zertrümmerung und Entfernung der Harnleitersteine einführen. Dies können Ultraschall-, Laser-, spezielle Sonden oder Zangen sein.

Schlingenextraktion

Wegen der hohen Verletzungsgefahr wird sie heute nur noch in Ausnahmefällen durchgeführt. Über die Harnröhre wird eine Schlinge eingeführt und der Arzt versucht, den Stein herauszuziehen. Die Methode wird nur angewandt, wenn sich der Stein im unteren Drittel des Harnleiters befindet. In den EU-Richtlinien für angewandte Medizintechnik wird sie aufgrund der Verletzungsgefahr des Harnleiters nicht mehr erwähnt.

Extrakorporale Stosswellenlithotripsie (ESWL)

Die Lithotripsie (v. griech. λιθος „Stein“ und τριβειν „reiben“) oder ESWL ist das Zertrümmern der Harnsteine durch Stosswellen. Hierbei kann meist auf einen stationären Eingriff verzichtet werden. Bei diesem Verfahren wird versucht, mit Hilfe von gebündelten Schallwellen, die auf die betroffene Stelle gerichtet werden, den Fremdkörper ohne einen percutanen Schnitt soweit zu zerkleinern, dass er entweder natürlich oder operativ entfernt werden kann.

Schematische Funktionsweise der ESWL
Schematische Funktionsweise der ESWL
Nierensteinzertrümmerer HM1 (1980)
Nierensteinzertrümmerer HM1 (1980)
Nierensteinzertrümmerer neuerer Bauart (2005)
Nierensteinzertrümmerer neuerer Bauart (2005)

Die Behandlungsmethode wurde 1980 erstmals von Ärzten des Universitätsklinikums Grosshadern (München, Deutschland) und Ingenieuren und Technikern der Firma Dornier System (Friedrichshafen, Deutschland) erfolgreich durchgeführt (siehe Dornier-Nierensteinzertrümmerer).

Während die ersten Geräte (siehe Bild HM 1) noch eine wassergefüllte Wanne hatten in der der Patient lag, ähneln die neueren Geräte nun einem modernen Röntgengerät mit nur noch einer Liege. Der Patient liegt auf einem beweglichen Tisch und wird an den Koppelbalg bzw. dieser an den Patienten herangefahren. Der besteht aus dem Stosswellengenerator mit einer wassergefüllten Silikonhülle (der sog. "Blase") und wird leicht an den Körper des Patienten gepresst, um einen guten Kontakt zum Körper herzustellen. Dazu wird zusätzlich noch ein wasserhaltiges Gel zwischen die Oberfläche des Koppelbalges und die Haut gebracht, um einen problemlosen Übertritt der Stosswelle zu gewährleisten. Während der Behandlung erfasst das Gerät automatisch die Lage des Steines und korrigiert die Position des Patienten, falls sich der Stein während der Stosswellenbehandlung in der Niere leicht verschiebt. Somit ist sichergestellt, das sich der Stein immer im Stosswellenzentrum befindet und umgebendes Gewebe geschont wird.

Bei diesem Verfahren benötigt der Patient keine Vollnarkose, i.d.R. wird nur ein Schmerzmittel intravenös verabreicht, der Patient bleibt ansprechbar. Sehr oft kann diese Behandlung auch ambulant durchgeführt werden. Die Belastung für den Patienten ist gering und durch die gezielte Bündelung der Stosswellen weniger schmerzhaft als bei den Geräten erster Bauart mit Badewanne.

Ausserdem kommen bei neueren Geräten neben Röntgenkameras auch Ultraschallgeräte zur Steineinstellung zum Einsatz. Etablierte Methoden zur Stosswellenerzeugung sind elektrohydraulische (Funkenstrecke), elektromagnetische und piezoelektrische Generatoren. Heute werden weltweit mehr als 3.000 Geräte (Lithotripter) eingesetzt, etwa 90 % aller Nierensteine werden in den Industrieländern auf diese Art zertrümmert. 1985 gab es in Westdeutschland rund 16.504 ESWL-Behandlungen.

Laserlithotripsie

Die Zertrümmerung von Harnsteinen ist durch die Entwicklung von flexiblen, dünnen Lichtfasern mit hoher Zerstörungsschwelle möglich geworden. Dabei wird eine optische Quarzfaser endoskopisch unter Sicht bis kurz vor den zu zertrümmernden Stein eingeführt. Wird der durch die Faser transportierte Laserpuls eines blitzlampengepumpten Farbstofflasers nun auf die Oberfläche eines Nierensteins fokussiert, so entsteht durch die schnelle Verdampfung des Oberflächenmaterials eine Stosswelle in der umgebenden Flüssigkeit, die nach mehreren Schüssen zur Zertrümmerung des Steins führt. Die dafür benötigte Laserleistung und die richtige Wahl der Wellenlänge, bei der die Absorption des Steinmaterials maximal ist, hängen von der chemischen Zusammensetzung des Steins ab, die variieren kann. Deshalb ist dienlich seine Zusammensetzung zu kennen. Diese lässt sich auf spektroskopischem Wege (siehe: Spektroskopie) erreichen, wenn bei kleiner Laserenergie das vom bestrahlten Stein emittierte Fluoreszenzlicht über eine eigene Faser gesammelt und auf einen optischen Vielkanalanalysator dargestellt wird. Ein nachgeschalteter Computer kann dann aus der Spektralverteilung der Fluoreszenz sofort die chemische Zusammensetzung bestimmen. Dies wurde zuerst an Nierensteinen in einem Wasserglas (in vitro) demonstriert und dann an Patienten (in vivo) erfolgreich erprobt.

Harnleiterschiene

Bei fast allen diesen Anwendungen wird dabei auch oft ein Katheter (auch Doppel-J-Katheter, Stent oder Harnleiterschiene genannt) zum Erweitern und Offenhalten des Harnleiters für einige Tage oder Wochen im Harnleiter belassen, um den natürlichen Abgang weiterer Steinfragmente zu erleichtern. Der Katheter wird am oberen Ende im Nierenbecken, am unteren Ende in der Harnblase für wenige Zentimeter aufgerollt. Der so gebildete doppelte "Ringelschwanz" (pigtail) fixiert den Katheter im Harnleiter. Der Harnleiter wird dadurch ebenfalls geschützt, da die abgehenden Steinfragmente teilweise scharfkantig sind und die Wände des Harnleiters verletzt werden könnten.

Prophylaxe

Hatte ein Patient schon mehr als einen Nierenstein, so wird er mit grösserer Wahrscheinlichkeit noch mehr Steine bilden. Um die Bildung neuer Steine zu verhindern, ist es wichtig, die Ursache der Steinbildung zu finden. Dies geschieht durch ärztlich angeordnete Labor-, Blut- und Urinuntersuchungen, auch die medizinische Vorgeschichte, der Beruf und das Essverhalten sind in die Untersuchungen mit einzubeziehen. Der Stein sollte nach seiner Entfernung oder Spontanabgang auf seine Zusammensetzung hin analysiert werden. Um die Ursache der Steinbildung zu finden, wird vom Arzt manchmal eine Untersuchung des über 24 Stunden gesammelten Urins, hinsichtlich Volumen, pH-Wert und dem Gehalt an Kalzium, Natriumsalzen, Harnsäure, Oxalat, Citrat und Creatinin durchgeführt.


Veränderung der Lebensgewohnheiten

Die einfachste und wirkungsvollste Art, das Neubildungsrisiko von Steinen zu vermindern, ist die Verdünnung des Urin durch Erhöhung der täglichen Flüssigkeitsaufnahme (Mineralwasser, Tee, ...). Es sollten 2,5 l Urin täglich ausgeschieden werden.

Aktuelle Studien zeigen, dass ausreichend Kalzium in der Nahrung (1000 – 1200 mg/Tag) dabei hilft, die Bildung von oxalathaltigen Steinen zu verhindern. Menschen, die zur Bildung solcher Steine neigen, müssen den Konsum von Milchprodukten und anderer kalziumreicher Lebensmittel nicht einschränken. Kalzium bindet Oxalat auf diese Weise im Darm, durch den es problemlos entsorgt werden kann.

Es wird geraten, Nahrung mit zugesetztem Vitamin D und kalziumbasierte Antazida zu meiden. Personen mit einem sauren Urin sollten Fleisch, Fisch und Geflügel meiden, da diese Nahrung Purin enthält, dessen Abbau zu Harnsäure den Urin-pH zu stark absenkt. Ein erhöhter Harnsäurespiegel kann ein Zeichen erhöhten Steinbildungsrisikos sein, das möglicherweise medikamentös behandelt werden muss.

Personen, die einen Hang zur Bildung von Kalziumoxalatsteinen haben, sollten folgende, oxalatreiche Nahrungsmittel reduzieren:

  • Rüben
  • Schokolade
  • Kaffee
  • Cola
  • Nüsse
  • Rhabarber
  • Spinat
  • Erdbeeren
  • Tee (schwarzer oder grüner)
  • Weizenkleie

Um Cystinsteine zu verhindern, muss viel Wasser getrunken werden, welches die Cystinkonzentration im Urin verringert. Dazu müssen täglich mehr als drei Liter Wasser getrunken werden, ein Drittel davon in der Nacht.

Pflanzenheilkunde

Es sollen Nierensteine mit Hilfe von Tee aus Echtem Labkraut zur Auflösung gebracht werden können. Genauso soll ein Teeaufguss von Löwenzahnwurzeln beim Abtransport der Steine behilflich sein.

Echter Katzenbart oder Orthosiphon entkrampft die ableitenden Harngefässe, wirkt gegen die Entzündung durch Nierensteine und vermindert so insgesamt die Schmerzen bei abgehenden Steinen. Serologisch lässt sich ein Absinken des Stickstoffspiegels im Serum beobachten. Auch bei gewöhnlichen Entzündungen der Niere durch verschleppte Blasenkatharre gute Erfolge möglich (Quelle: Fintelmann und Weiss, Lehrbuch der Phytotherapie, Hippokrates-Verlag).

Neues aus der Forschung

Das Vorkommen des Bakteriums Oxalobacter formigenes' [3] im Darmtrakt kann das Risiko, Nierensteine zu bekommen, um bis zu 70 Prozent senken. Das besagt die Studie einer Arbeitsgruppe des Boston University′s Slone Epidemiology Center.[4] Die Bostoner Forscher geben an, dass der Schutz-Effekt des Bakteriums wahrscheinlich auf einer Verstoffwechselung von Oxalat im Verdauungstrakt beruht. [3]


Dieser Artikel stammt aus der freien Enzyklopädie Wikipedia und kann dort eingesehen werden (Autorenliste). Der Artikel steht unter der GNU Lizenz für freie Dokumentation.


Unsere Website dient einzig Informationszwecken. Sie ersetzt keinesfalls die persönliche Untersuchung, Beratung und Behandlung durch Fachkräfte. Bitte beachten Sie auch unsere Rechtlichen Nutzungsbedingungen.




[an error occurred while processing this directive]