Das Schweizer Ärzteportal seit 1998
Flagslogo doktor.ch

Krankheiten: Karies

Klassifikation nach ICD-10
K02.- Zahnkaries
ICD-10 online (WHO-Version 2006)
Karies
Karies

Die Zahnkaries (Zahnfäulnis, lateinisch-medizinisch die Caries dentium, lateinisch caries - die Morschheit, Fäulnis) ist eine Erkrankung der Zahnhartgewebe Zahnschmelz und Dentin.

Symptome und Beschwerden

Stadien der Karies reichen von der Initialkaries über die Dentinkaries bis zur Caries penetrans[1].

Als Kariesvorstufe (Initialkaries) bilden sich zuerst Entkalkungen. Diese sind makroskopisch als weisse Flecken (white spot) erkennbar. Durch Einlagerungen von Farbpigmenten aus der Nahrung werden diese Flecken oft dunkel.

Karies, welche sich nur auf den Schmelz begrenzt, muss nicht in jedem Fall behandelt werden. Solange die oberste Schmelz-Schicht noch intakt ist, kann durch geeignete Fluoridierungsmassnahmen und eine Ernährungsberatung die Läsion remineralisiert werden.

Wird eine Karies im Anfangsstadium nicht gezielt remineralisiert, solange nur der Zahnschmelz befallen ist, dann dringt sie in das Dentin (Zahnbein) vor. Bereits diese Dentinkaries kann zu Zahnschmerzen führen, die als Warnsignal ernstgenommen werden sollten.

Da Dentin wesentlich weicher als Zahnschmelz ist, breitet sich die Karies unterhalb der Schmelz-Dentin-Grenze auch schnell in die Breite aus. Der so unterminierte Zahnschmelz an den Rändern des kariösen Defektes bricht dann nach einigen Wochen beim Kauen plötzlich weg. In diesem Moment wird die Karies oft erst wahrgenommen, obwohl sie schon seit längerer Zeit existiert.

Eine Caries profunda (tiefe Zahnkaries) liegt vor, wenn die Kariesläsion schon in über 2/3 der Dentinschicht in Richtung des Zahnmarkes (der Pulpa) vorgedrungen ist.

Bei der Caries penetrans (durchdringende Zahnfäule) hat der Defekt bereits durch das Dentin hindurch die Pulpa erreicht, so dass eine Verbindung zwischen Mundhöhle und Pulpencavum entstanden ist.

Vorkommen

In Deutschland sind nur ca. ein Prozent der Erwachsenen kariesfrei, haben also naturgesunde Zähne[2].

Ursachen

Es gibt mehrere Theorien zur Entstehung von Karies. Heute ist die chemoparasitäre Theorie nach Willoughby D. Miller (1898) allgemein anerkannt. Demnach kommt es auf Grund mehrerer pathogener Faktoren zur Zerstörung der Zahnhartgewebe in mehreren Stufen.

Karies ist eine kohlenhydratmodifizierte Infektionskrankheit. Das bedeutet, dass erst eine Übertragung der Streptokokken (die zur Bildung von Karies immer erforderlich sind) in den Mund erfolgen muss, da ein Mensch nicht automatisch als Träger dieser Bakterien zur Welt kommt. Meist erfolgt diese Ansteckung im Babyalter, wenn ein Elternteil beispielsweise den Schnuller des Babys, beim Füttern den Löffel oder den Sauger der Trinkflasche ableckt. Erstaunlicherweise wird man als (werdende) Eltern über diese Tatsache nicht informiert und kaum ein 'Nichtmediziner' hat jemals davon gehört.

Menschen erkranken an Karies, wenn vier Hauptfaktoren

  • Wirtsfaktoren (Zähne, Mineralqualität, Speichelfaktoren, Verhalten),
  • Plaque,
  • niedermolekulare Kohlenhydrate (besonders in Zucker und gezuckerten Speisen enthalten) und
  • genügend Zeit

zusammenwirken.

Neben diesen Hauptfaktoren gibt es diverse Nebenfaktoren: Zahnstellung, Zahnfehlbildungen, Speichelfluss und -zusammensetzung, genetische Faktoren, Zusammensetzung der Nahrung und viele andere.

In der Plaque siedeln sich Laktobazillen und verschiedene Streptokokkenarten an. Herausragend ist Streptokokkus mutans. Diese Mikroorganismen produzieren aus niedermolekularen Kohlenhydraten organische Säuren, die den Zahn angreifen, indem sie die in der Zahnhartsubstanz vorhandenen Mineralien herauslösen. Zucker aus der Nahrung wird dabei zu Milchsäure abgebaut. Nur Mikroorganismen, die diesen Stoffwechselprozess beherrschen (azidogene Mikroorganismen) und in stark saurem Milieu überleben können (azidurische Mikroorganismen), vermehren sich dann weiter. Zahnbeläge von Personen, die viel und häufig Zucker konsumieren, haben deshalb eine andere Mikrobiota.

Von grosser Wichtigkeit für die Zahngesundheit sind ausreichende Pausen zwischen den Mahlzeiten (oder dem Trinken zuckerhaltiger Getränke), in denen der Speichel die Säuren neutralisieren und die angegriffene Zahnsubstanz remineralisieren kann. Es kommt also nicht so sehr auf die Menge des konsumierten Zuckers an, sondern vor allem auf die Häufigkeit oder Dauer des Zuckerkonsums. Eine über den Tag verteilte Dosis eines zuckerhaltigen Erfrischungsgetränkes erhöht das Kariesrisiko schon beträchtlich, da so dem Zahnschmelz die Regenerationsphasen genommen werden.

Karies nach Strahlentherapie

Ein ausreichender Speichelfluss ist für die Gesunderhaltung von Zähnen und Mundschleimhäuten unerlässlich. Jede Beeinträchtigung des Speichelflusses bedeutet neben einer Vielzahl von unangenehmen Begleiterscheinungen auch immer eine Erhöhung des Kariesrisikos. Ein gänzliches Versiegen des Speichelflusses kann innerhalb kürzester Zeit zur kariösen Zerstörung der Zähne führen. Erkranken Patienten an malignen Tumoren im Kopf-Hals-Bereich, so kommt in etwa 50 Prozent der Fälle ionisierende Strahlung zur Tumorelimination zum Einsatz. Obwohl die heute übliche fraktionierte Bestrahlung die Folgen einer Strahlentherapie auf die Speicheldrüsen etwas einschränkt, gibt es bisher keine zuverlässige Methode, die Strahlung so zu beherrschen, dass Nebenwirkungen vollkommen ausgeschlossen werden können. Betroffen sind Haut und Schleimhaut, Muskulatur, Speicheldrüsen, Knochen und Zähne. Eine Schädigung der Speicheldrüsen führt zu Mundtrockenheit, auch radiogene Xerostomie genannt, in deren Folge eine oft sehr schmerzhafte Entzündung der Mundschleimhaut (Mukositis) auftreten kann. Das Risiko einer sogenannten Strahlenkaries (Caries radiatio) steigt bei diesen Patienten durch den Wegfall der neutralisierenden und remineralisierenden Wirkung des Speichels extrem an.

Um das Risiko einer Strahlenkaries zu verringern, sollte vor Beginn der Radiotherapie eine vollständige Sanierung des Gebisses erfolgen. Ausserdem sollten bereits in dieser Phase die Zahnpflege und die Kooperationsbereitschaft des Patienten durch umfangreiche und wiederholte Mundhygieneinstruktionen verbessert werden. Doch Mundhygienemassnahmen alleine können das Auftreten der Strahlenkaries nicht verhindern. Auch Speichelersatzmittel sind als ein wertvolles zusätzlich einsetzbares Mittel anzusehen, haben aber keine kariesprophylaktische Wirkung. Sie können im Gegenteil sogar Schäden an der Zahnhartsubstanz hervorrufen, da sie zum Teil einen niedrigen pH-Wert haben und damit erosiv wirken. Die regelmässige lokale Fluoridierung während und nach der Bestrahlung ist daher zentrale Begleittherapie für Kopf-Hals-bestrahlte Patienten.

Weitere Hinweise:

  • DGZMK (Deutsche Gesellschaft für Zahn-, Mund- und Kieferheilkunde) und DEGRO (Deutsche Gesellschaft für Radioonkologie, Medizinische Physik und Strahlenbiologie): Gemeinsame Empfehlung zur Zahnärztlichen Betreuung von Patienten mit tumortherapeutischer Kopf-Hals-Bestrahlung (2002)
  • Handtmann S, Mühlbradt L, Hoffmann J, Reinert S. Prophylaxe und Therapie – Bestrahlungsbedingte Nebenwirkungen I: Schädigungen der Zahnhartsubstanz. ZBW (2005) 42 - 47
  • 3-D-Modell mit verschiedenen Kariessituationen http://www.zahngesundheit-aktuell.de

Folgen und Komplikationen

Folgen der Zahnkaries sind Entzündungen der Pulpa, die apikale Parodontitis (Entzündungen des Zahnhalteapparats an der Wurzelspitze), Abszesse und Osteomyelitis, die in extremen Fällen sogar zum Tod führen können.

Bildet sich an bereits behandelten (gefüllten) Stellen erneut Karies, so spricht man vom Kariesrezidiv oder der Sekundärkaries.

Bei der Sekundärkaries handelt es sich um eine erneute Erkrankung der ursprünglich gesunden Zahnhartsubstanz, beispielsweise an einem überstehenden, unpolierten oder schadhaften Füllungs- oder Kronenrand.

Als Kariesrezidiv bezeichnet man das erneute Aufflammen einer nicht vollständig entfernten Karies.

Vorbeugung

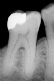
Röntgenaufnahme eines Zahnes mit Amalgamfüllung.
Röntgenaufnahme eines Zahnes mit Amalgamfüllung.

Die beste Möglichkeit, Karies vorzubeugen ist eine Beschränkung der Zuckeraufnahme. Dadurch wird die Veränderung der Mundflora in Richtung einer kariogenen Plaque verhindert. Die Amerikanische Zahnärztliche Vereinigung[3] und die Europäische Kinderzahnärztliche Akademie[4] empfehlen den Konsum zuckerhaltiger Getränke einzuschränken sowie Säuglingen und Kleinkindern keine zuckerhaltigen Flüssigkeiten zum Einschlafen zu geben.

Als gute Möglichkeit, die Entstehung von Karies zu verhindern, wird die Prophylaxe mit Fluorid angesehen. Fluorid fördert die Remineralisation, härtet die oberste Schmelzschicht und hemmt das Bakterienwachstum. Als Vorbeugung für ganze Bevölkerungsgruppen wurde in der Vergangenheit die Fluoridierung des Trinkwassers diskutiert. Wegen der unterschiedlichen Gewohnheiten gibt es jedoch Bedenken wegen möglicher Überdosierung und Nebenwirkungen. Auch der Zusatz von Fluor im Speisesalz kommt zur Anwendung.

Daneben kann eine gründliche Entfernung der Zahnbeläge, am besten 10 bis 20 Minuten nach der Mahlzeit, die Demineralisation verhindern. Als Hilfsmittel können Chemotherapeutika wie Fluoride und Chlorhexidin verwendet werden. Zusätzlich sind ein Ersatz von Zucker durch Xylitol (auch Xylit genannt), die Versiegelung der Fissuren, regelmässige Kontrollen beim Zahnarzt und natürlich die regelmässige Zahnreinigung gute Optionen, um sich vor Karies zu schützen. Dabei ist die einzige Möglichkeit, die Plaque zuverlässig zu entfernen, die Reinigung der Zähne mit der Zahnbürste und in den Zahnzwischenräumen mit Zahnseide oder, bei grösseren Abständen zwischen den Zähnen, mit der Zahnzwischenraumbürste. Mundspülungen, auch Chlorhexidindigluconat, können eine Neubildung der Plaque verzögern, aber nicht verhindern.

Vor allem in Finnland wurde seit den 1970er-Jahre der Einsatz von Xylit systematisch erforscht. Dabei wurde belegt, dass Xylit nicht nur die Kariesbildung nachhaltig hemmt, sondern auch zu einer Remineralisierung der betroffenen Zahnbereiche führen kann. Die antikariogene Wirkung wird dadurch erklärt, dass die kariogenen Streptococcus mutans das Xylit nicht verstoffwechseln können und damit absterben. Weiterhin werden sie auch daran gehindert, als Plaquebakterien an der Zahnoberfläche anzuheften. Als optimal wurde in den finnischen Studien eine Xylitmenge zwischen 5-10 Gramm pro Tag in mehreren Portionen ermittelt. Dies kann mittels Kaugummi oder Lutschpastillen erfolgen. Darüber hinaus regt Xylit die Speichelproduktion und fördert die Bildung von Komplexen mit Calcium und Speicheleiweissen in der Mundhöhle, was zu einer Remineralisation von Zahnhartsubstanz führt.

Polyphenole aus roten Weintrauben hemmen die Bakterienart Streptococcus mutans, die zum Aufbau von Zahnbelägen (Plaque) und sogenannten Biofilmen auf den Zähnen beiträgt. Durch ihre bakterizide Wirkung hemmen Polyphenole die schädlichen Auswirkungen der Bakterien und wirken so auch vorbeugend gegen Zahnfäule und Zahnkaries. [5]<

Ein völlig neuer Ansatz zur Kariesprophylaxe ist ein effizientes Bakterienmanagement, das sich am Bakterientiter (Konzentration) im Speichel orientiert, sich diesem anpasst und dafür sorgt, dass sich die Bakterienkonzentration im Mund konstant in der physiologisch sinnvollen Konzentration einregelt. Dafür werden antibakterielle Wirkstoffdepots im Mund platziert, die mit einem für die Bakterienzellteilung notwendigen Stoff (Lecithin) umhüllt werden. Bakterien, die in die Zellteilungphase eintreten, nutzen das Lecithin des Wirkstoffdepots zum Aufbau einer neuen Zellhülle (Zellgrenzschicht). Dabei werden die antibakteriellen Inhaltsstoffe der Wirkstoffdepots freigesetzt, die Bakterienzellteilung verhindert und der Keimtiter im Mund auf ein konstantes Niveau eingestellt. [6].

Behandlung

Die Entkalkung („macula alba“) als Vorstufe der Karies lässt sich durch intensive Fluoridierung mit speziellen Fluoridpräparaten remineralisieren und so zum Verschwinden bringen.

Spätere Stadien der Karies, die mit einer Kavität („Loch“) einhergehen, müssen anders versorgt werden: Die betroffene Zahnhartsubstanz muss ausgeräumt und der Zahn mit einem Füllungsmaterial (beispielsweise Komposit oder Amalgam) versorgt werden.

Bei stärkerer Zerstörung des Zahnes kommt nur eine Überkronung oder ein vollständiges Entfernen in Frage. Der entfernte Zahn sollte möglichst umgehend ersetzt werden (Brücke oder Implantat), um Veränderungen des Kiefers zu verhindern.

Es wird empfohlen, zweimal im Jahr zum Zahnarzt zu gehen, damit dieser den Zustand der Zähne kontrolliert. Dabei sollte gegebenenfalls Plaque und Zahnstein entfernt werden. Einige Zahnärzte bieten auch die Fluoridierung der Zahnoberfläche als Vorbeugung an. Zahnschmerz kommt als Warnsignal oft zu spät.

Durch den weitverbreiteten Gebrauch von Fluoriden beobachtet man heutzutage das Phänomen der „verborgenen Karies“. Kleine Kavitäten in den Fissuren oder Zahnzwischenräumen breiten sich in Richtung des Dentins aus, ohne zu einer nennenswerten Schädigung der Schmelzschicht zu führen. Dadurch bleibt lange Zeit bei flüchtiger Untersuchung der Eindruck eines gesunden Gebisses. Röntgenaufnahmen sind inzwischen eine zuverlässigere Diagnosetechnik.

Erbliche Veranlagung

Man hat festgestellt, dass die Anfälligkeit für Karies genetisch bedingt ist. Getrennt lebende eineiige Zwillinge, deren Zuckerkonsum unterschiedlich war, hatten einen ähnlichen Zustand der Zähne. Die Zahnpflege hat dennoch einen Sinn, denn die genetische Veranlagung schützt bei schlechter Mundhygiene nicht vollständig vor massivem Bakterienbefall und seinen Folgen. Die Amelogenesis imperfecta ist eine angeborene Störung der Zahnschmelzbildung, die mit einer erhöhten Kariesanfälligkeit einhergeht.

Einzelnachweise

  1. Schaubild der Universität Malmö (Schweden)
  2. 35 Kariesfreie in einem Boot
  3. Oral Health Topics: Baby Bottle Tooth Decay, hosted on the American Dental Association website. Page accessed August 14, 2006
  4. A Guide to Oral Health to Prospective Mothers and their Infants, hosted on the European Academy of Paediatric Dentistry website. Page accessed August 14, 2006
  5. Hyun Koo et al.: Chemical Characterization of Red Wine Grape (Vitis vinifera and Vitis Interspecific Hybrids) and Pomace Phenolic Extracts and Their Biological Activity against Streptococcus mutans. Journal of Agricultural and Food Chemistry. 2007. Bd. 55 (25), S. 10200–10207. PMID 17999462 (Siehe auch: Polyphenole aus Weintrauben wirken gegen Bakterien, die Karies auslösen können)
  6. http://www.liporal.de


Dieser Artikel stammt aus der freien Enzyklopädie Wikipedia und kann dort eingesehen werden (Autorenliste). Der Artikel steht unter der GNU Lizenz für freie Dokumentation.


Unsere Website dient einzig Informationszwecken. Sie ersetzt keinesfalls die persönliche Untersuchung, Beratung und Behandlung durch Fachkräfte. Bitte beachten Sie auch unsere Rechtlichen Nutzungsbedingungen.




[an error occurred while processing this directive]